FESTE ZÄHNE AN EINEM TAG
Bequemer, fester und schöner Zahnersatz
– für ein neues Lebensgefühl
Mit dem Konzept "Feste Zähne an einem Tag" zu einer schnellen, effizienten und ästhetischen Lösung für festsitzenden Zahnersatz – ganz ohne aufwendigen Knochenaufbau.
Setzen Sie auf die Expertise Ihres Spezialisten für Feste Zähen an einem Tag in Ingolstadt: Dr. Andreas Vogtner biete eine fortschrittliche und patientenorientierte Lösung. NEU: Erfolgsgeschichte!!
EIGNET SICH DAS KONZEPT FESTE ZÄHNE AN EINEM TAG FÜR SIE?
Ästhetischer, komfortabler, festsitzender Zahnersatz an einem Behandlungstag?
Das innovative Konzept "Feste Zähne an einem Tag" kommt insbesondere für Sie infrage, wenn Sie den Wunsch nach einem festsitzenden Zahnersatz haben und eines oder mehrere der folgenden Szenarien auf Sie zutrifft.

Verlorene Zähne
Wenn Sie bereits alle Zähne verloren haben oder kurz davor stehen, bietet dieses Konzept eine schnelle und zuverlässige Lösung für Ihren Zahnersatz.
Drohender Zahnverlust
Wenn Sie von drohendem Zahnverlust z.B. durch Karies oder Parodontitis betroffen sind, und wenn Zähne nicht mehr zu retten sind.
Zahnersatz ungeeignet
Wenn herkömmlicher oder herausnehmbarer Zahnersatz wie z.B. Prothesen für Sie nicht kompatible oder komfortabel sind, und Sie eine stabile und ästhetische Alternative wünschen.
Zahnarztangst
Wenn Sie aufgrund von Zahnarztangst lange den Zahnarztbesuch hinausgezögert haben, und eine schnelle und weniger belastende Lösung wünschen.
Mit "Feste Zähne an einem Tag" genießen Sie sofortigen Komfort und eine schnelle Rückkehr zu einem natürlichen, festen Biss – ohne lange Wartezeiten oder provisorische Lösungen. Schon nach nur einem Behandlungstag können Sie u.a. von folgenden Punkten profitieren.

Keine scheuernde oder drückende Vollprothesen mehr
Natürliche Ästhetik und Gefühl von echten Zähnen
Gestärktes Selbstbewusstsein und endlich wieder lachen
Wieder aktiv am Leben teilhaben ohne Schamgefühl
Beratung vereinbaren?
Vereinbaren Sie direkt einen Termin zur individuellen Beratung in unserer Praxis
DIE METHODE und Ihre Vorteile
Mit SKY fast and fixed zu
"Festen Zähnen an einem Tag"
Im Gegensatz zu herkömmlichen Zahnimplantaten, bei welchen jeder fehlende Zahn durch eine eigene künstliche Wurzel ersetzt wird, benötigen wir bei Festen Zähnen an einem Tag nur 4-6 Implantate pro Kiefer.
Wir arbeiten mit SKY fast & fixed, einem etablierten Konzept, um festen Zahnersatz an nur einem Tag zu ermöglichen. Nach Abschluss der Behandlung wird die jeweilige Zahnprothese auf den 4-6 Zahnimplantate befestigt und hält dort alltäglichen Belastungen wie Sprechen, Lachen und Kauen mühelos stand.
4-6 Implantate
Sechs Implantate im Oberkiefer, vier im Unterkiefer, für maximale Stabilität.
Direkt nach der OP neue, feste Zähne
Neue feste Zähne direkt nach der Implantation, keine lange provisorische Phase.
Schonenden Operationstechnik
Minimalinvasive Verfahren für eine sanfte und effiziente Behandlung.
Kein Knochenaufbau
Nutzung vorhandener Knochenstrukturen vermeidet aufwendige Knochenaufbauten.
Langzeitprovisorium
Festsitzender Zahnersatz aus hochfestem Kunststoff für die Heilungsphase.
Kurze Behandlungszeit
Der gesamte Prozess ist in wenigen Tagen abgeschlossen.
Lebenslanger Halt bei richtiger Pflege!
Mit der richtigen Pflege bieten die Implantate eine dauerhafte Lösung für Ihren Zahnersatz.
DER ABLAUF
Ihr Weg zu "Festen Zähnen an einem Tag"
Erfahren Sie, wie der Ablauf in unserer Praxis gestaltet ist, um Ihnen schnell und effizient zu festen Zähnen zu verhelfen. Der gesamte Prozess ist so strukturiert, dass Sie innerhalb einer Woche eine vollständige Versorgung erhalten, wobei Sie bereits am Tag des operativen Eingriffs mit festen Zähnen nach Hause gehen werden, und nach ca. 3 Monaten den definitiven Zahnersatz (bei richtiger Pflege) ein Leben lang genießen können.
Der nachfolgend dargestellte Beispielprozess zeigt Ihnen einen möglichen Ablauf, wie er in unserer Praxis üblich ist.
Montag: Situationsmodelle
Wir erstellen Modelle Ihres aktuellen Zahnzustands, um die Behandlung sorgfältig zu planen.
Ihr Spezialist
Dr. Andreas Vogtner
Dr. Andreas Vogtner ist ein anerkannter Zahnarzt und Experte in Parodontologie und Implantattherapie mit einem Master of Science der Deutschen Gesellschaft für Parodontologie. Er hat sich auf die Implantologie spezialisiert und ist als geprüfter Implantologe bei der Deutschen Gesellschaft für Orale Implantologie (DGOI) anerkannt. Seine berufliche Laufbahn umfasst wertvolle Erfahrungen in der Zahnerhaltung und Endodontie, erweitert durch prothetische Ausbildung und umfangreiche oralchirurgische Weiterbildung.
Dr. Vogtner hat seine Kompetenz durch Tätigkeiten in Berlin und Stuttgart vertieft und führt nun die Praxis in Ingolstadt mit einem starken Fokus auf Zahnerhalt und präventive Zahnmedizin. Er engagiert sich auch als Gastdozent und Supervisor im Bereich Parodontologie.





UMFASSENDE EXPERTISE
Darum können Sie uns vertrauen
Customers served!
1 +Jahre Erfahrung
Customers served!
1 +Implantate gesetzt
Customers served!
1 +Feste Zähne
an einem Tag Fälle
Warum unsere Praxis?
Unsere Praxis steht für Teamarbeit und Kompetenz. Dr. Barbara Vogtner und Dr. Andreas Vogtner arbeiten mit regionalen Partnern zusammen, um optimale Ergebnisse für Sie zu erzielen.
Wir bieten:
Individuelle Beratung: Speziell auf Sie zugeschnittene Lösungen, insbesondere für ästhetisch anspruchsvolle und komplexe Behandlungsfälle.
Modernste Ausstattung: Innovative Behandlungskonzepte und eine moderne Praxisausstattung auf dem neuesten Stand der Wissenschaft.
Persönliche Betreuung: Ihr Anliegen steht im Mittelpunkt, unterstützt durch ein engagiertes Team und ein angenehmes Praxisambiente.
Mit Fachwissen und moderner Technik verhelfen wir Ihnen zu einem strahlenden Lächeln und gesunden Zähnen.
"Ihr Anliegen steht bei uns im Mittelpunkt."
Patientenstimmen
“
Ich habe mich für Sky fast & fixed entschieden, da meine Zähne voll am Ende waren. Die Beratung und Erklärung über den Ablauf haben Fr. Dr. Vogtner und Hr. Dr. Vogtner sehr ausführlich gemacht und dadurch meine Entscheidung erleichtert. Ich hatte mich dann für oben und unten an einem Tag entschieden. Hr. Dr. Vogtner hat recht behalten, ich hatte keine Schmerzen, dafür vielen Dank. Das Essen ist in den ersten Wochen nicht witzig, aber dafür der Blick in den Spiegel, WHOW! Ich möchte mich daher auch bei Herrn Böhm (Zahntechniker) bedanken. Meine neuen Zähnchen sind Dank Herrn Böhm ein Traum geworden.
Ich kann das Trio absolut weiterempfehlen.
Nochmal vielen lieben Dank für alles.
Kisten B.
Google Bewertung
“
Die beste Empfehlung in Ingolstadt bei Fast&Fixed - feste Zähne an einem Tag (Implantate mit Langzeitprovisorium ) und Endversorgung mit Teleskopprothese
Frau Dr. Vogtner und Herr Dr. Vogtner sind ein eingespieltes und sehr professionelles Team. Von der Beratung (komplettes Oberkiefer) - über die schmerzfreie Behandlung - bis zum Einsetzen der Implantate, des Langzeitprovisoriums und nach 7 Monaten Endversorgung mit Teleskopprothese - ist man in allerbesten Händen. Großes Lob auch an den Zahntechniker und das sehr nette Praxispersonal an der Anmeldung sowie im Behandlungszimmer. Mit dem Ergebnis bin ich vollkommen zufrieden. Vielen herzlichen Dank! 😊👍
P. B.
Google Bewertung
“
Sehr kompetente Ärzte. Bei meinen Behandlungen wurden immer Vorher/Nachher Bilder gemacht, es wird immer genauestens erklärt, daher sehr zu empfehlen. Auch sehr positiv ist die sehr kurze Wartezeit und die Erreichbarkeit am Telefon. Falls man Mal nicht durchkommt, wird sogar zurückgerufen!!!
Jens N.
Google Bewertung
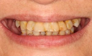
Erfolgsgeschichten
Lassen Sie sich von echten "Feste Zähen an einem Tag" - Fällen aus unserer Praxis inspirieren.
Vor der Behandlung
Nach der Behandlung
Vor der Behandlung
Nach der Behandlung
Vor der Behandlung
Nach der Behandlung
Individuelle Erstberatung zu
"Feste Zähne an einem Tag"
Erleben Sie eine maßgeschneiderte Erstberatung zu unserem "Feste Zähne an einem Tag"-Konzept. Lassen Sie sich von Dr. Andreas Vogtner und seinem Team individuell beraten, um die beste Lösung für Ihre persönliche Situation zu finden.
Wir nehmen uns die Zeit, Ihre speziellen Bedürfnisse zu verstehen und erläutern Ihnen Schritt-für-Schritt, wie die Möglichkeiten und Abläufe für Ihren Weg zu neuen und festen Zähnen funktionieren,

Vereinbaren Sie jetzt Ihren Termin und starten Sie den Weg zu einem neuen, strahlenden Lächeln!
Bereit,
endlich wieder unbeschwert lachen, genussvoll essen und selbstbewusst sprechen zu können?
Machen Sie den ersten Schritt zu neuer Lebensfreude und mehr Lebensqualität!
Formular ausfüllen und absenden
Füllen Sie das Formular zur Anfrage einer Erstberatung vollständig aus und teilen Sie und gerne Ihr individuelles Anliegen und beste Erreichbarkeit auf diesem Wege mit.
Bestätigung erhalten
Nach dem Absenden des Formulars erhalten Sie eine Bestätigung Ihrer Anfrage per E-Mail von uns.
Wir rufen Sie an
Gerne rufen wir Sie in einem ersten Schritt zurück, um Ihr Anliegen genau zu verstehen und um gemeinsam einen passenden Wunschtermin zur Beratung in unserer Praxis zu vereinbaren.
Termin zur Erstberatung in unserer Praxis
Ihr Wunschtermin ist vereinbart und wir freuen uns darauf, Sie in unserer Praxis zur Erstberatung schon bald zu begrüßen.
Erstberatung vereinbaren
Ihre Anfrage für eine individuelle Erstberatung zum Thema Feste Zähne an einem Tag in unserer Praxis in Ingolstadt.
Häufig gestellte Fragen
Die Fast & Fixed-Methode eignet sich besonders für Patienten, die bereits alle Zähne verloren haben oder kurz davor stehen, fast alle Zähne zu verlieren. Gründe können Karies oder Parodontitis sein. Patienten, die Zahnarztbesuche wegen Angst hinausgezögert haben, finden in dieser Methode eine schnelle und weniger belastende Lösung. In manchen Fällen, wie bei sehr geringem Knochenangebot, kann die Behandlung jedoch nicht durchgeführt werden. Ein persönliches Beratungsgespräch hilft dabei, festzustellen, ob diese Methode für Sie geeignet ist.
Dank der schonenden Operationstechnik und moderner Anästhesieverfahren ist die Behandlung weitgehend schmerzfrei. Nach dem Eingriff können leichte Schmerzen auftreten, die jedoch mit üblichen Schmerzmitteln behandelt werden können.
Die Kosten für die Fast & Fixed-Methode sind individuell und hängen von Ihrer Knochensituation und der Anzahl der benötigten Implantate ab. Nach einem ersten Beratungsgespräch erhalten Sie einen detaillierten Behandlungsplan, der alle Kosten enthält und nicht überschritten wird. Die ungefähren Kosten liegen bei etwa 11.000 Euro für 6 Implantate im Oberkiefer und 8.000 Euro für 4 Implantate im Unterkiefer. Diese Preise beinhalten bereits das Langzeitprovisorium. Viele Zahnzusatzversicherungen beteiligen sich an den Kosten für "Feste Zähne an einem Tag".
Ja, Sie können gerne zu uns kommen, auch wenn Sie bereits einen Kostenvoranschlag (KV) von einem anderen Zahnarzt haben. Wir bieten Ihnen eine zweite Meinung und prüfen, ob unser Konzept für "Feste Zähne an einem Tag" für Sie geeignet ist. In einem individuellen Beratungsgespräch besprechen wir Ihre Bedürfnisse und erstellen einen maßgeschneiderten Behandlungsplan. So können Sie sicherstellen, dass Sie die beste Lösung für Ihre Zahngesundheit erhalten.
Wie bei jedem chirurgischen Eingriff gibt es auch bei der Implantation Risiken, wie Infektionen oder Implantatverlust. Diese Risiken sind jedoch bei fachgerechter Durchführung und guter Nachsorge gering.